|
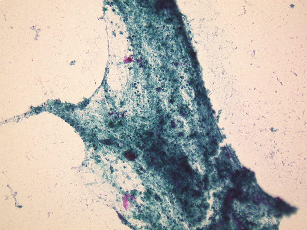
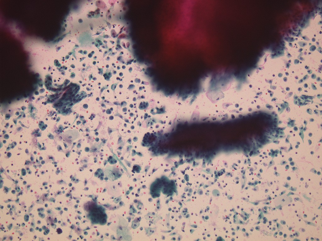
Case 1
西田 雅美(星ヶ丘厚生年金病院)
年齢・性別 |
60歳・男性 |
材料・採取 |
自然尿・遠心法(すり合わせ)スプレー固定、乾燥 |
臨床所見 |
肉眼的血尿のため他院を受診。USにて膀胱癌が疑われたため、約2週間後当院紹介受診。 |
回答1
(細胞判定4段階) |
Benign, Indeterminate, Suspicious, Malignant |
回答2
(推定組織型) |
1)尿細管上皮細胞集塊
2)尿路結石
3)低異型度尿路上皮癌
4)浸潤性尿路上皮癌(微小乳頭型)
5)前立腺癌
|

|
Case 2
島田 啓司(奈良県立医科大学)
年齢・性別 |
60歳・女性 |
材料・採取 |
自然尿・LBC(シュアパス)
膀胱洗浄液・LBC(シュアパス) |
臨床所見 |
突然の(無症候性)肉眼的血尿で、即日泌尿器科受診。膀胱鏡:膀胱側壁部に腫瘤(単発)を認める 。 |
回答1
(細胞判定4段階) |
Benign, Indeterminate, Suspicious, Malignant |
回答2
(推定組織型) |
1)上皮過形成
2)低異型度尿路上皮癌
3)高異型度尿路上皮癌
4)扁平上皮への分化を伴う高異型度尿路上皮癌
5)転移性癌 |

|
Case 3
奥山 大(北海道がんセンター)
年齢・性別 |
70歳・女性 |
材料・採取 |
膀胱カテーテル尿・従来法(引きガラス)
膀胱カテーテル尿・LBC(シュアパス) |
臨床所見 |
13年前に尿道憩室で切除手術をうける。最近、排尿困難と尿道痛が出現 。 |
回答1
(細胞判定4段階) |
Benign, Indeterminate, Suspicious, Malignant |
回答2
(推定組織型) |
1)腺癌
2)低異型度尿路上皮癌
3)高異型度尿路上皮癌
4)炎症性尿道上皮異型
5)反応性尿路上皮異型
|



|
Case 4
コ田 雄治(佐賀大学医学部)
年齢・性別 |
48歳・男性 |
材料・採取 |
採取:自然尿・遠心法
右腎盂腫瘤内容物吸引・遠心法(すり合わせ)
|
臨床所見 |
右側腹部痛。尿に血塊が混じる。
|
回答1
(細胞判定4段階) |
Benign, Indeterminate, Suspicious, Malignant |
回答2
(推定組織型) |
1)腎膿瘍
2)高異型度尿路上皮癌
3)扁平上皮分化を示す高異型度尿路上皮癌
4)扁平上皮癌
5)腎細胞癌 |


|
Case 5
平田 哲士(千葉県がんセンター)
年齢・性別 |
60歳・女性 |
材料・採取 |
膀胱尿・フィルター法 |
臨床所見 |
他院にて、尿一般検査:異型細胞(+),尿細胞診:classVb,膀胱鏡:乳頭状腫瘍,膀胱生検:UC,G1,pTa。追加治療目的で当院受診。画像:上部尿路異常なし,尿一般検査:異型細胞(+),膀胱鏡:乳頭状腫瘍。細胞診、TUR-Bt施行された。 |
回答1
(細胞判定4段階) |
Benign, Indeterminate, Suspicious, Malignant |
回答2
(推定組織型) |
1)膀胱炎
2)低異型度尿路上皮癌
3)異形成
4)高異型度尿路上皮癌(上皮内癌)
5)高異型度尿路上皮癌(浸潤癌) |


|
Case 6
佐藤 正和(国立病院機構岡山医療センター)
年齢・性別 |
25歳・男性 |
材料・採取 |
採取:中間尿・フィルター法 |
臨床所見 |
慢性腎不全の患者で肉眼的血尿を認めた。膀胱鏡で粘膜浮腫を伴ったポリープ様腫瘍を認める。
|
回答1
(細胞判定4段階) |
Benign, Indeterminate, Suspicious, Malignant |
回答2
(推定組織型) |
1)慢性膀胱炎(腺性膀胱炎)
2)尿細管上皮細胞
3)低異型度尿路上皮癌
4)高異型度尿路上皮癌
5)腺癌
|


|
Case 7
川崎 辰彦(佐世保共済病院)
年齢・性別 |
89歳・女性 |
材料・採取 |
自然尿・直接法(引きガラス)
|
臨床所見 |
顕微鏡的血尿。
|
回答1
(細胞判定4段階) |
Benign, Indeterminate, Suspicious, Malignant |
回答2
(推定組織型) |
1)正常尿路上皮細胞
2)反応性尿路上皮細胞
3)異形成
4)低異型度尿路上皮癌
5)高異型度尿路上皮癌 |


|
Case 8
夏目 園子(名古屋掖済会病院)
年齢・性別 |
76歳・男性 |
材料・採取 |
自然尿・フィルター法(サイトプレップ) |
臨床所見 |
1年前BTにて生検、UC,G1と診断。follow-up中、毎月1回の自然尿細胞診施行されclassT〜U。16ヶ月後の自然尿細胞診。 |
回答1
(細胞判定4段階) |
Benign, Indeterminate, Suspicious, Malignant |
回答2
(推定組織型) |
1)正常尿路上皮
2)反応性尿路上皮
3)低異型度尿路上皮癌
4)高異型度尿路上皮癌
5)腎細胞癌 |


|
Case 9
山田 博(健和会大手町病院)
年齢・性別 |
89歳・女性 |
材料・採取 |
自然尿・2回遠心法(サコマノ液) |
臨床所見 |
血尿。 |
回答1
(細胞判定4段階) |
Benign, Indeterminate, Suspicious, Malignant |
回答2
(推定組織型) |
1)尿細管上皮細胞
2)反応性尿路上皮細胞
3)異形成
4)低異型度尿路上皮癌
5)高異型度尿路上皮癌
|


|
Case 10
中澤 久美子(山梨大学医学部附属病院)
年齢・性別 |
66歳・男性 |
材料・採取 |
自然尿・2回遠心法(ウリキープ) |
臨床所見 |
右腎盂腫瘍疑い。 |
回答1
(細胞判定4段階) |
Benign, Indeterminate, Suspicious, Malignant |
回答2
(推定組織型) |
1)高異型度尿路上皮癌
2)腺上皮への分化を示す尿路上皮癌
3)腺癌
4)嫌色素性腎細胞癌
5)集合管癌 |


|
Case 11
小椋 聖子(済生会野江病院)
年齢・性別 |
66歳・男性 |
材料・採取 |
自然尿・サイトスピン法(遠心後サイトスピン)
自然尿・2回遠心法 |
臨床所見 |
排尿困難を主訴に来院。熱中症による脱水が原因と考えられ、点滴施行により症状は改善。膀胱エコーにて壁の肥厚が認められ尿細胞診。 |
回答1
(細胞判定4段階) |
Benign, Indeterminate, Suspicious, Malignant |
回答2
(推定組織型) |
1)尿路上皮内癌
2)尿路上皮内癌+乳頭状尿路上皮癌
3)尿路上皮内癌+腺癌(膀胱原発)
4)乳頭状尿路上皮癌+腺癌(膀胱原発)
5)乳頭状尿路上皮癌 |


|
|
|
|